Dental Office in Summerville

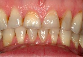
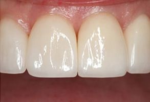
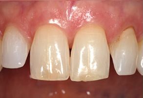
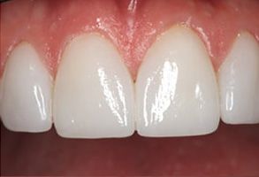
Dentistry Before and After Photos

Schedule a visit today!
Contact Us
By providing my phone number, I consent to receive SMS text messages from Deaton Dental LLC for appointment reminders, marketing messages, and general two-way communication. Msg frequency varies. Msg & data rates may apply. Reply HELP for support. Reply STOP to opt out. For more information, please review our Privacy Policy/Terms Conditions page
Submit

Thank You!

We appreciate you taking the time to visit our site. We'll review your message and be in touch with you soon.

Continue
Family Dentist in Summerville